Idiopatyczne zapalenia pęcherza moczowego, czyli tzw. FIC (Feline Idiopatic Cystitis) jest obecnie dość powszechnym problemem dotykającym koty, w tym głównie koty „niewychodzące”.
Idiopatyczne – oznacza powstające w sposób niejasny, nie posiadające znanego podłoża, które można określić jednoznacznie.
Istnieją dowody na to, że stres odgrywa ważną rolę w FIC. Koty trzymane wyłącznie w pomieszczeniach oraz koty dzielące swoją przestrzeń z innymi osobnikami tego gatunku, to typowi pacjenci dotknięci FIC. U wielu kotów epizod choroby może być wywołany przez stresujące wydarzenie, nawet jeśli trudno jest nawiązać bezpośredni związek. U tych pacjentów często nie ma żadnych innych oznak w ich zachowaniu, które sugerowałyby stres.
Żeby wytłumaczyć, dlaczego tak się dzieje, trzeba omówić krótko mechanizmy tego problemu na poziomie procesów zachodzących w organizmie. Koty z FIC nie radzą sobie ze stresem w „normalny” sposób.
W odpowiedzi na czynnik stresowy wysyłany jest impuls z mózgu dochodzący do nerwów w ścianie pęcherza moczowego. Na skutek pobudzenia tych nerwów dochodzi do wyrzutu neuroprzekaźników, które mogą zaostrzać miejscowe reakcje zapalne w ścianie pęcherza moczowego i dawać objawy bólowe. Stres u zdrowych kotów powoduje jednoczesny wyrzut kortyzolu, który jest hormonem stresu jak i katecholamin czyli neurotransmiterów (adrenaliny i noradrenaliny). Specyficzne jest to, że kotów z FIC nie dochodzi do tak wysokiego wyrzutu kortyzolu, dlatego nie reagują one w normalny sposób. Z tego powodu można u nich również nie obserwować typowych stresowych zachowań, należących do palety reakcji behawioralnych pojawiających się w takich sytuacjach. Oprócz wyżej opisanych mechanizmów zbadano również, że u tych kotów warstwa ochronna glikozaminoglikanów (tzw. GAG) wyściełająca śluzówkę pęcherza moczowego jest niewystarczająca i często wadliwa. Taka wada predysponuje do uszkodzeń śluzówki z uwagi na substancje drażniące zawarte naturalnie w moczu.
GAG - Glikozaminoglikany są cukrami występującymi w organizmach roślinnych i zwierzęcych. Pełnią bardzo ważne funkcje biologiczne i fizjologiczne. Stanowią warstwę ochronną, która wyściela pęcherz od środka i zapobiega przedostawaniu się moczu do ściany pęcherza.
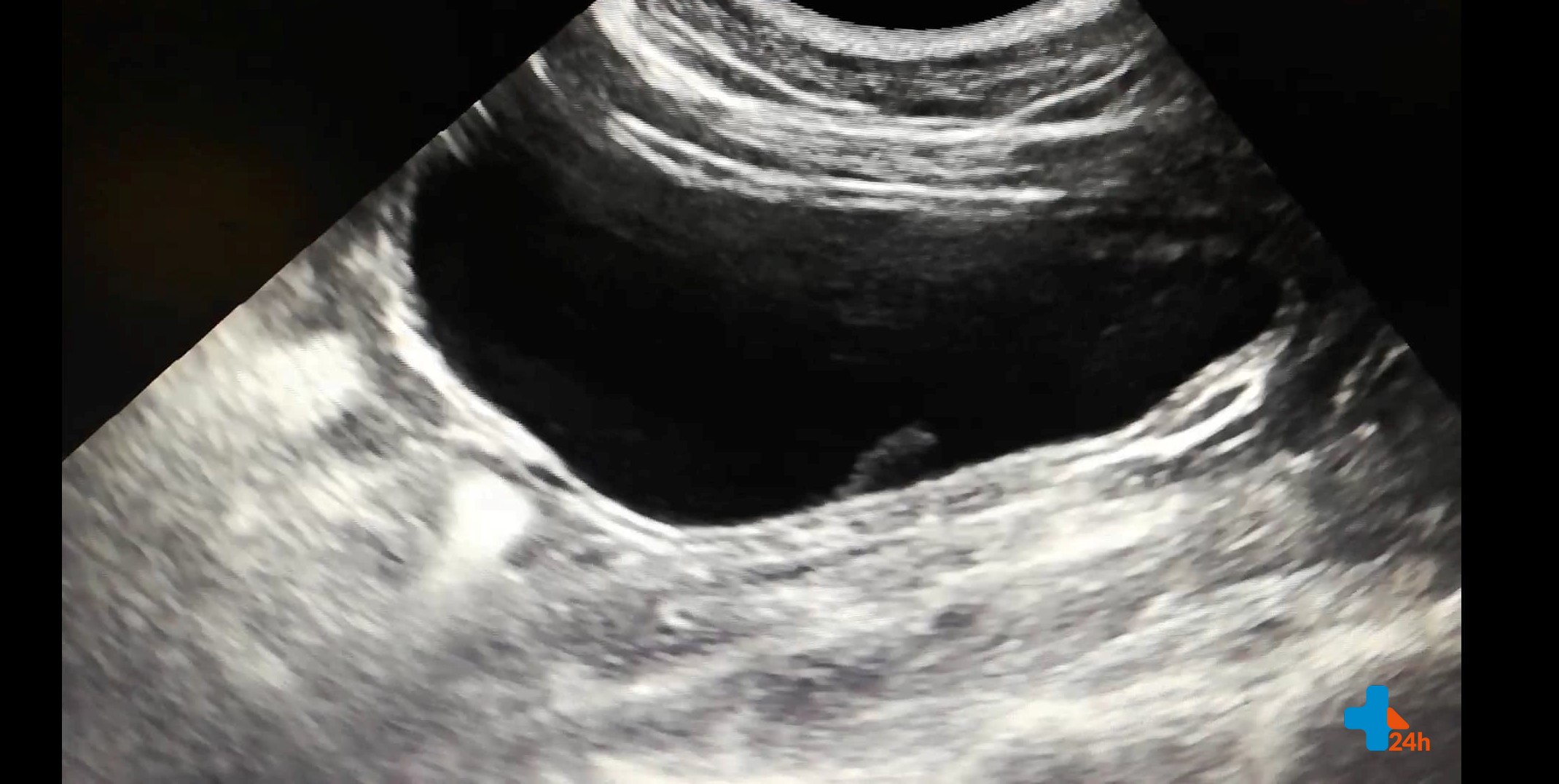
Koty cierpiące na idiopatyczne zapalenie pęcherza moczowego manifestują objawy kliniczne charakterystyczne dla wielu jednostek chorobowych dotyczących dolnych dróg moczowych, dlatego ostateczne rozpoznanie wymaga wnikliwej diagnostyki i wykluczenia istnienia innych chorób urologicznych. Diagnostyka ta obejmuje badanie ogólne moczu, posiew bakteriologiczny, badanie ultrasonograficzne oraz RTG układu moczowego, w pewnych przypadkach uzupełnione o kontrastowanie.
Do najczęstszych objawów klinicznych należą:
W niektórych przypadkach dochodzi do niedrożności cewki na skutek jej skurczu lub zablokowania osadem moczu. Powyższe objawy wymagają niezwłocznego stawienia się ze zwierzęciem u lekarza weterynarii. U tych pacjentów epizody chorobowe często mają charakter nawrotowy, potrafią samoistnie mijać i po kilku dniach znowu dawać nieprzyjemne dla kota objawy.

Aby zmniejszyć ryzyko nawrotów choroby należy przeanalizować warunki, w których przebywa nasz kot oraz jego dietę. Najlepszym rozwiązaniem byłoby znalezienie źródła stresu u naszego pupila. Ważne jest również unikanie potencjalnych czynników wywołujących stres, jeśli mamy na to wpływ. Stresorami mogą być nagłe zmiany dotyczące domowników, przeludnienie, nowy zwierzak w domu, zmiana diety. Nuda i zbyt ciasna i mało bezpieczna przestrzeń dla kotów również jest częstym problemem. Zapobieganie nudzie i monotonii oraz poprawienie warunków mieszkalnych kota to istotne elementy prewencji FIC. Koty lubią mieć ciche i spokojne miejsca do odpoczynku, dobrze czują się na wysokościach co można im zagwarantować poprzez proste konstrukcje półek przyściennych z drabinkami lub drapak wysokości co najmniej 1,5 metra.
Pacjentów borykających się z nawracającymi objawami FIC warto jest wspomóc farmakologicznie. Na rynku jest obecnie wiele preparatów w formie suplementów mających za zadanie zrelaksować takiego czworonożnego pacjenta. Występują one w różnych postaciach: kapsułek, żeli, aerozoli, obroży jak i dyfuzorów do kontaktu.
Kolejnym aspektem mającym na celu zminimalizować ryzyko nawrotu choroby jest odpowiednia dieta. Karma dla kotów urologicznych ze zdiagnozowanym idiopatycznym zapaleniem pęcherza moczowego ma na celu zachęcenie kota do spożywania większej ilości wody, a tym samym rozcieńczania moczu. Mniejsza koncentracja moczu sprawia, że nie będzie on tak drażniący dla śluzówki pęcherza moczowego. W takim moczu ryzyko wytrącania się osadów mineralnych jest również mniejsze. Często w takich karmach również są dodatki naturalnych substancji działających na koty relaksująco.
Ostatecznie dieta jak i leczenie FIC muszą zostać ustalone w porozumieniu z lekarzem weterynarii po wykonaniu przez niego niezbędnej, wykluczającej inne schorzenia diagnostyki.

Artykuł ma na celu łatwiejsze zrozumienie podłoża problemu. Często właściciele są zdziwieni, ponieważ w ich odczuciu zwierzę ma zapewnione najwyższe normy dobrostanu i ciężko im zrozumieć, że choroba ma podłoże psychosomatyczne.
